Imagen en ecografía.

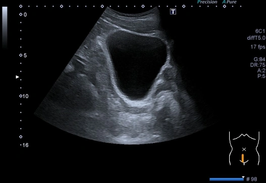
Imágenes anecoicas.
Se forman a partir de estructuras que no reflejan ecos. Se observan en partes del cuerpo totalmente líquidas, como la sangre o la orina. Pueden encontrarse en estructuras no patológicas (vasos sanguíneos, vesícula biliar...) y también en el ámbito patológico como hematomas, bursitis o inflamaciones articulares.

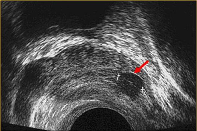
Imágenes hipoecoicas.
Se producen cuando la estructura a estudiar presenta un eco menor que las de su alrededor.

Imágenes hiperecoicas.
Se forman cuando la estructura que se va a estudiar presenta más ecos que una adyacente o que la rodea.
Resolución espacial
Capacidad de diferenciar dos tejidos consecutivos en el camino del haz. Existen 2 tipos:


Resolución lateral: capacidad de diferenciar dos puntos adyacentes, depende, principalmente, de las características del transductor (número de cristales, tamaño de estos…). A mayor nº de cristales de menor tamaño, mayor resolución. Se puede mejorar también con software.

Imagen armónica
El ecógrafo escanea imágenes al doble o múltiplos de la frecuencia. Se usa para disminuir los artefactos (reverberación). También se encarga de mejorar la definición y se encuentra por defecto en la mayoría de los aparatos comercializados.

Visualización en campo externo
Uno de los defectos que puede tener la ecografía es el poco campo de visión. Se acentúa en el momento de usar sondas lineales. La visualización en campo extendido permite aumentar el campo de visión realizando una imagen panorámica de la zona a estudiar. Se puede realizar con cualquier transductor y es necesario un software apropiado

Registro simultáneo en TC, RM o PET.
Se puede comparar la ecografía en tiempo real con otro estudio realizado con otra técnica de imagen. Es necesario tener la otra imagen en un formato reconocible por el equipo y un software adecuado.

Elastografía
La elastografía con ecografía, o elastografía transitoria, es una técnica que utiliza ultrasonido para medir la rigidez de los tejidos, principalmente el hígado, en tiempo real.

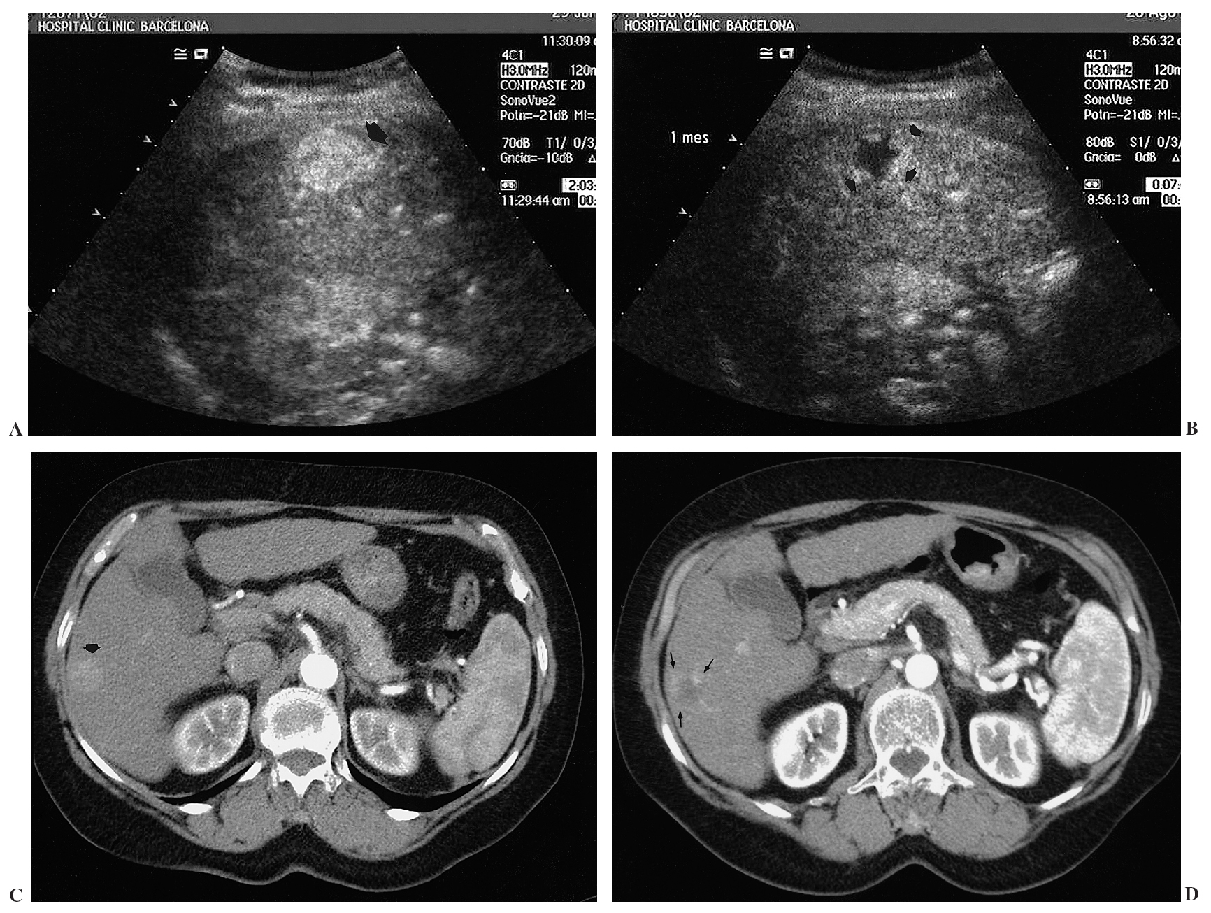
Contraste en ecografía.
Permite mejorar el diagnóstico en diferentes patologías. En un principio se usaba para distinguir entre patología tumoral hepática benigna o maligna, pero actualmente esta tecnica se ha ampliado. Se usan como medio de contraste microburbujas encapsuladas o partículas sólidas
Ecografía 3D/4D
La ecografía en 2D es usada rutinariamente en la mayoría de especialidades, pero las imágenes que proporciona son bidimensionales, mientras que algunas estructuras son tridimensionales.
En la actualidad, existen los sistemas en 3D, que permiten la representación tridimensional de las imágenes, lo que facilita el abordaje en procedimientos invasivos o no. Existen dos formas de generar una imagen en 3D


A partir de una sonda 3D, es más voluminosa que las convencionales, ya que cuenta normalmente con 180 cristales y puede rastrear el tejido que se quiere estudiar en diferentes planos y generar así una imagen volumétrica en tiempo real.
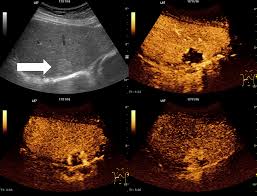
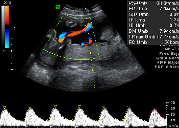
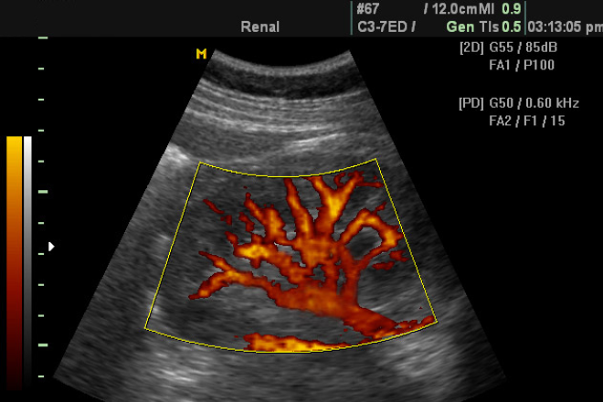
Ecografía doppler.
Se basa en el efecto Doppler (diferencia de frecuencia en las ondas en función de si se están acercando o alejando).
Al recibir ondas de una frecuencia transmitida de un fluido en movimiento, la frecuencia es mayor si se está acercando a la fuente y menor si se aleja. La diferencia entre estas frecuencia da la frecuencia Doppler.
Este efecto se utiliza para la exploración del flujo sanguíneo.
Hay 3 tipos:

Doppler pulsado: se transmiten impulsos cortos y se espera el eco para observar un cambio de frecuencia, el cual es directamente proporcional a la velocidad del fluido.

Doppler color: es la más utilizada, permite ver el flujo de sangre que pasa por los vasos en el estudio. En caso de que la sangre se aproxime a la sonda, se suele representar de color rojo, y si se aleja, de color azul.

Doppler potencia: se ven coloreados los vasos, pero no se tiene en cuenta el sentido de la sangre. Es más sensible a la velocidad del fluido, pero se suelen generar algunos artefactos, como el de vibración tisular.